logo

ZAHNKOSMETIK / ÄSTHETIK

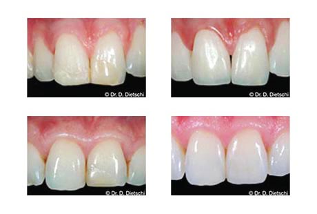
Ein frisches, gepflegtes Lächeln ist heutzutage immer wichtiger. Sie fühlen sich nicht nur besser, ihre Umwelt wird zurücklächeln! Eine Reinigung entfernt schon die oberflächlichen Verfärbungen, danach kann auch ein gezieltes Bleichen die Zähne aufhellen. Moderne Mehrfarbcomposite können Flecke, Verschattungen, kleine Defekte oder Fehlstellungen, gezielt und unkompliziert verschwinden lassen. Wir beraten Sie gern.
Mit den modernen Behandlungs- und Labormöglichkeiten können künstliche Zahnkronen unsichtbar gestaltet und exakt an Ihre Zahnfarbe und -stellung angepasst werden. Zahnfarbene Compositematerialien ermöglichen unsichtbare Füllungen. Amalgamfüllungen können poliert werden, sodass diese nicht so dunkel erscheinen.
Wenn Sie es wünschen, können wir mit einem Zahnschmuck Ihr Lächeln verschönern.

Weitere Informationen über unsere Leistungen können Sie unter INFO erfahren
© 2012 Weibrecht, Design: Xign Movement